
Wozu Röntgen in der Zahnmedizin?
Wir Zahnärzte von Medicus Dental am Schaffhauserplatz in Zürich nehmen die Bedenken unserer Patienten sehr ernst und möchten mit diesem Blogbeitrag rund ums Thema zahnärztliches Röntgen informieren.
Röntgen, was ist das? Warum ist es in der Zahnmedizin als diagnostisches Mittel unerlässlich? Wie häufig darf geröntgt werden? Und was ist mit röntgen in der Schwangerschaft?
Geschichte zum Röntgen.
Im Jahr 1895 entdeckte der Physiker und Mathematiker Wilhelm Conrad Röntgen (geb. 27. März 1845, † 10. Februar 1923) in Würzburg die „unsichtbaren“ Strahlen und publizierte seinen Forschungsbericht mit dem Namen „Über eine neue Art von Strahlen“. Die erste Röntgenaufnahme überhaupt zeigte die Hand seiner Ehefrau mit den sichtbaren Handknochen und dem Ehering.
Herr Röntgen nannte seine entdeckten Strahlen „X-Strahlen“. Das X steht, wie in der Mathematik, für eine „unbekannte“ Grösse. Der heute noch im angloamerikanischem Sprachgebrauch verwendete Name X-Rays, wurde im deutschsprachlichen Raum schnell durch den Name Röntgenstrahlen ersetzt. Herr Röntgen verzichtete auf ein Patent seiner Entdeckung, da er der festen Auffassung war, dass seine Erfindungen der Allgemeinheit dienen sollte. Seine Entdeckung modernisierte nicht nur die medizinische Diagnostik, sondern führte zu vielen wichtigen wissenschaftliche Entdeckungen des 20. Jahrhunderts, zum Beispiel die Radioaktivität. Er erhielt 1901 den ersten Nobelpreis in Physik „als Anerkennung des außerordentlichen Verdienstes, das er sich durch die Entdeckung der nach ihm benannten Strahlen erworben hat“.
Medicus Dental am Schaffhauserplatz in Zürich diagnostiziert mit dem neuesten digital bildgebenden Verfahren.

Moderne digitale Kleinröntgenanlage von Sirona Dentsply bei Medicus Dental am Schaffhauserplatz in Zürich
Welches Röntgenverfahren wird bei Medicus Dental angewendet?
Das Röntgenverfahren in der Zahnmedizin hat sich in den letzten 20 Jahren rasant von der analogen zur digitalen Röntgentechnik weiterentwickelt. Bei Medicus Dental am Schaffhauserplatz in Zürich kommt ausschliesslich das digitale Röntgen zum Einsatz. Es liefert hochauflösende Bilder in Echtzeit und reduziert die Strahlenbelastung, im Vergleich zur konventionellen analogen Röntgentechnik, um hervorragende 80%.
Die wichtigsten zahnärztliche Röntgenverfahren im Überblick:
Einzelzahnfilmaufnahmen: kommen zur Anwendung bei der Diagnostik einzelner Zähne oder einer Zahnreihe. Die anatomische Struktur von Zahnkrone, Zahnwurzel und Kieferknochen werden wiedergegeben.
Einzelzahnaufnahmen sind unerlässlich bei:
- der Kariesdiagnostik
- Wurzelbehandlungen
- Beurteilung von Zahnersatz (z.B. Kronen, Brücken u.ä.).
- Parodontitis
- Implantaten
- Entzündungen von Zähnen, Zahnfleisch und Kieferknochen

Ein Beispiel für eine Einzelzahnaufnahme, bei klinisch und optisch nicht erkennbarer Karies an Zahn 46 und als Nebenbefund ein verlagerter Weisheitszahn 48 distal.
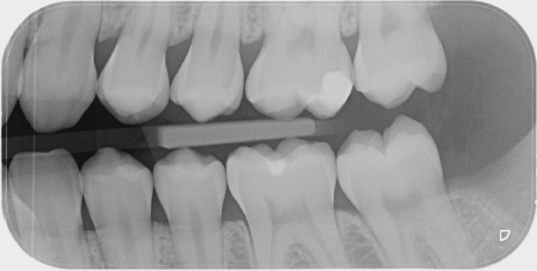
- Bissflügelaufnahme sind unerlässlich bei der Kariesdiagnostik. Die Zahnreihen der Ober- und Unterkieferseite einer Gesichtshälfte sind zu diagnostizieren. Die Zahnärzte von Medicus Dental am Schaffhauserplatz in Zürich empfehlen alle ein bis zwei Jahre regelmässige Röntgenkontrollen, um frühzeitig Karies zwischen den Zähnen zu erkennen und zu therapieren.

Ein Beispiel für eine Bissflügelaufnahme, bei gesunden Zähnen.
Orthopantomogramm (OPT)

Orthophos XG 3D für zwei- und drei-dimensionale Röntgenaufnahmen von Sirona Dentsply bei Medicus Dental am Schaffhauserplatz in Zürich
Bei einem Orthopantomogramm (Panoramaschichtaufnahme),wird der gesamte Ober- und Unterkiefer mit allen Knochen- und Zahnstrukturen abgebildet.
Hierfür wird der Patient in ein hochmodernes Röntgengerät platziert. Das Gerät dreht sich in wenigen Sekunden um den Kopf des Patienten und liefert in Echtzeit digitale Bilder, die zum Planungserfolg von chirurgischen Therapien, wie zum Beispiel chirurgischen Weisheitszahnentfernungen oder Implantationen, zwingend notwendig sind.

Volumentomographie (DVT)
Die digitale Volumentomographie (DVT) ist ein dreidimensionales bildgebendes Verfahren und ist in der Mund- und Kieferchirurgie sehr oft notwendig, um das vorhersagbare therapeutische Ergebnis, zur Beispiel bei Implantationen, deutlich zu verbessern. 3D-Aufnahmen können auch bei Wurzelbehandlungen angewendet werden, wenn die Wurzelkanäle atypische und/oder sehr komplexe anatomische Strukturen aufweisen.

Wie häufig kann geröntgt werden?
Tatsache ist: Ionisierende Strahlen können Zellen verändern und schädigen.
Bei Medicus Dental am Schaffhauserplatz in Zürich, wird nur unter der genauen Abwägung des medizinischen Nutzens zum Verhältnis der Strahlenbelastung geröntgt. Die Häufigkeit von Röntgenaufnahmen ist vom Alter, der Mundgesundheit und der Kariesanfälligkeit abhängig.
Wozu Röntgen, auch ohne Beschwerden? Kariesdiagnostik!
Röntgenbilder müssen prophylaktisch zur diagnostischen Früherkennung von Zahnerkrankungen, wie zum Beispiel Karies eingesetzt werden, um den nötigen Therapiebedarf möglichst gering zu halten.
Röntgen in der Schwangerschaft? Darf ich das?
Die Zahnärzte von Medicus Dental am Schaffhauserplatz in Zürich, verweisen auf die Veröffentlichung der Universität Zürich. Das digitale Röntgen ist im Vergleich zum analogen Verfahren vorzuziehen, indes in den ersten 12 Wochen der Schwangerschaft möglichst zu vermeiden. Die Belastung eines unbehandelten Infektes in der Mundhöhle der Mutter wird für das ungeboren Leben als höher eingeschätzt als ein umsichtig erstelltes digitales Röntgenbild.
Nachhaltigkeit, die Natur freut sich!
Bei der digitalen Röntgentechnologie fallen keine, anders als beim analogen Röntgen, für die Umwelt giftige Chemikalien an.
In diesem Blogbeitrag konnten nur die zahnärztlichen digitalen Röntgentechniken angesprochen werden, die bei Medicus Dental am Schaffhauserplatz in Zürich zur Anwendung kommen. Es gibt natürlich noch weiterebildgebende Verfahren wie zum Beispiel die Computertomographie (CT) und die Magnetresonanztomographie (MRT).