
Erfolgreiche Wurzelbehandlung – So bleibt Ihr Zahn erhalten!
Ein strahlendes Lächeln und eigene, gesunde Zähne sind ein kostbares Gut. Manchmal braucht es jedoch professionelle Unterstützung, um dieses zu bewahren. Eine der bewährtesten Methoden, um erkrankte Zähne zu erhalten, ist die Wurzelbehandlung – auch als Endodontie bekannt.
Was ist eine Wurzelbehandlung und wann wird sie benötigt?
Eine Wurzelbehandlung ist ein Verfahren, bei dem das erkrankte Zahnmark (Pulpa) entfernt wird, um den Zahn zu retten. Ohne diese Behandlung müsste der Zahn in vielen Fällen entfernt werden. Der Eingriff erfordert Präzision und Fachwissen, bietet jedoch eine langfristige Lösung, um die Mundgesundheit zu bewahren.
Die Ursachen für eine Wurzelbehandlung können vielfältig sein:
- Tiefe Karies: Bakterien dringen tief in den Zahn ein und infizieren das Zahnmark.
- Zahnverletzungen: Ein Stoß oder eine Fraktur kann den Zahnnerv schädigen, auch wenn der Zahn äußerlich intakt aussieht.
- Zahnfleischerkrankungen: Schwere Parodontalerkrankungen können zu Infektionen des Zahnnervs führen.
Mögliche Symptome, die auf eine notwendige Wurzelbehandlung hinweisen, sind:
- Starke Zahnschmerzen
- Empfindlichkeit gegenüber Kälte oder Hitze
- Schwellungen im Zahnfleischbereich
- Aufbissempfindlichkeit
- Vorhandensein eines Abszesses

So könnte eine Behandlung bei uns aussehen:
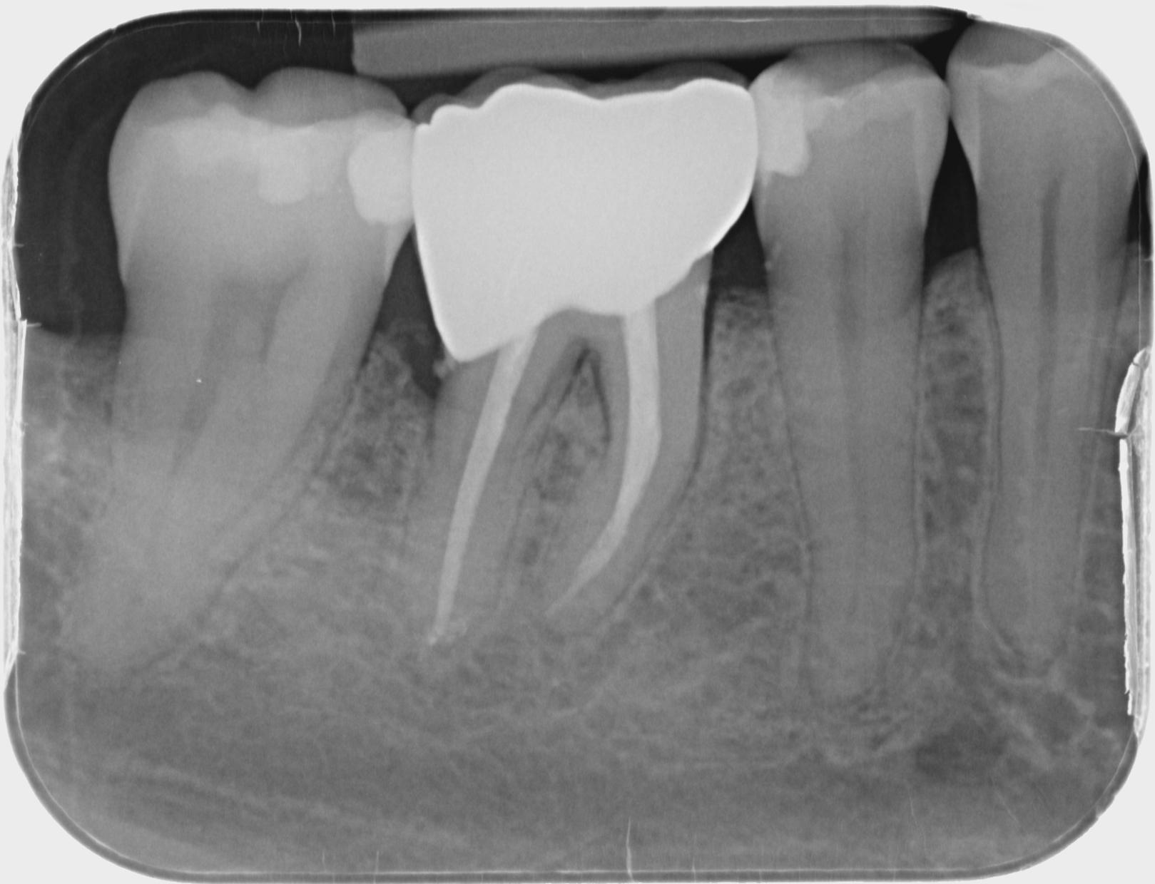
- Voruntersuchung: Gründliche Untersuchung und Röntgenaufnahmen zur Beurteilung des Zahns.
- Betäubung: Der Eingriff erfolgt schmerzfrei unter örtlicher Betäubung.
- Zugang zum Zahn: Ein kleines Loch wird gebohrt, um an die Pulpa zu gelangen.
- Entfernung der Pulpa: Das infizierte Zahnmark wird vorsichtig entfernt.
- Reinigung und Desinfektion: Gründliche Reinigung der Wurzelkanäle zur Entfernung aller Bakterien.
- Wurzelfüllung: Die Kanäle werden mit einem biokompatiblen Material verschlossen.
- Verschluss des Zahns: Der Zahn wird mit einer Füllung oder Krone verschlossen, um Stabilität zu gewährleisten.
Nach der Wurzelbehandlung: Positiver Ausblick
Leichte Beschwerden nach der Wurzelbehandlung sind normal, klingen aber schnell ab. Mit der richtigen Nachsorge steht Ihrem gesunden Lächeln nichts im Weg! Dank der hohen Erfolgsrate bleibt Ihr Zahn langfristig erhalten. Eine erfolgreiche Wurzelbehandlung schützt Ihren Zahn und sorgt für viele Jahre Gesundheit.
Vereinbaren Sie jetzt eine Kontrolluntersuchung, um sicherzustellen, dass alles optimal verläuft – wir kümmern uns um Ihre Zahngesundheit!
Ihr Team von Medicus Dental